Chirurgia Stomatologiczna
Chirurgia stomatologiczna w MEDENT obejmuje pełen zakres zabiegów w obrębie tkanek twardych i miękkich jamy ustnej. Zabiegi wykonujemy w znieczuleniu miejscowym, z zachowaniem wysokich standardów bezpieczeństwa i komfortu pacjenta.
Zobacz efekty naszych zabiegów
Przekonaj się o skuteczności chirurgii stomatologicznej w MEDENT.
Przed
Po
Profesjonalna chirurgia stomatologiczna z widocznym efektem leczenia
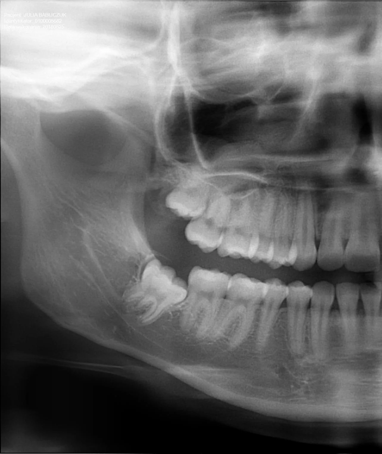
Ekstrakcje zębów
Przeprowadzamy usuwanie zębów:
- zniszczonych przez zaawansowaną próchnicę,
- ze wskazań ortodontycznych u dzieci i dorosłych,
- pozostawionych fragmentów korzeni,
- częściowo lub całkowicie zatrzymanych zębów (najczęściej ósemek).
Podcięcie wędzidełka wargi lub języka (frenuloplastyka)
Wady rozwojowe wędzidełek występują stosunkowo często — mogą obejmować przerost, nieprawidłowy przyczep lub zbyt małą elastyczność. W MEDENT wykonujemy podcięcie wędzidełka wargi i języka u dzieci oraz dorosłych.
Prawidłowo przeprowadzona frenuloplastyka poprawia funkcję języka, komfort mówienia oraz ułatwia adaptację do protez ruchomych.
Kompleksowa opieka chirurgiczna
Każdy zabieg poprzedzony jest dokładną diagnostyką, najczęściej w oparciu o zdjęcie RTG pantomograficzne lub CBCT 3D. Dbamy o bezbolesny przebieg, komfort pacjenta oraz szybkie gojenie poprzez stosowanie nowoczesnych technik chirurgicznych.
Chirurgia stomatologiczna w MEDENT to bezpieczne i skuteczne leczenie, które pozwala zachować zdrowie tkanek jamy ustnej oraz zapobiega wielu powikłaniom w przyszłości.
