Wybielanie Zębów
Wybielanie zębów – bezpieczny i skuteczny efekt
Przed każdym wybielaniem wykonujemy profesjonalne oczyszczanie zębów, aby uzyskać optymalny efekt.
Oferujemy wybielanie nakładkowe – bezpieczną i kontrolowaną metodę, którą pacjent kontynuuje w domu.
Zobacz efekty wybielania
Przekonaj się o skuteczności naszych zabiegów wybielających.
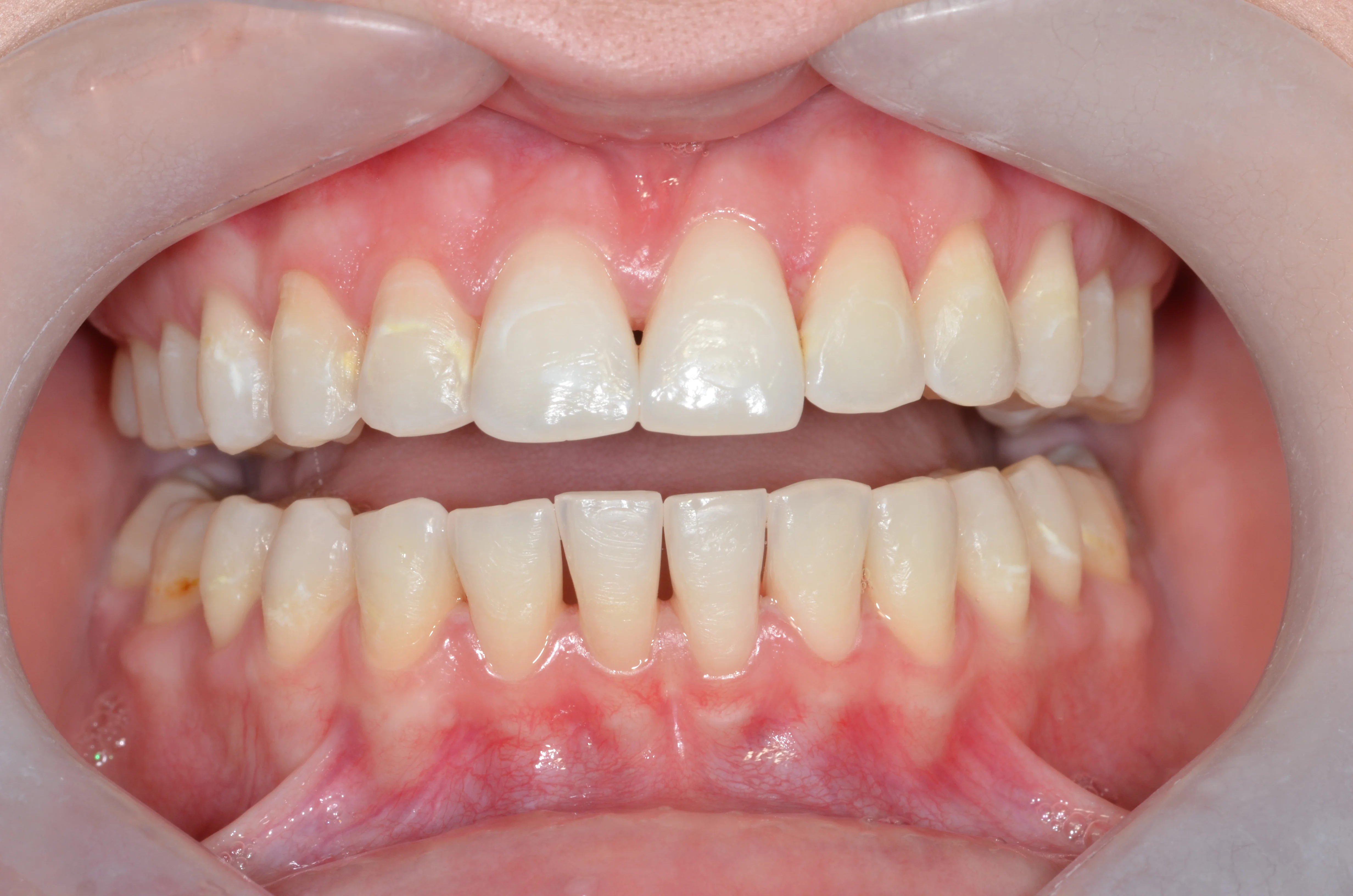
Przed
Po
Profesjonalne wybielanie zębów z widocznym efektem już po jednej wizycie
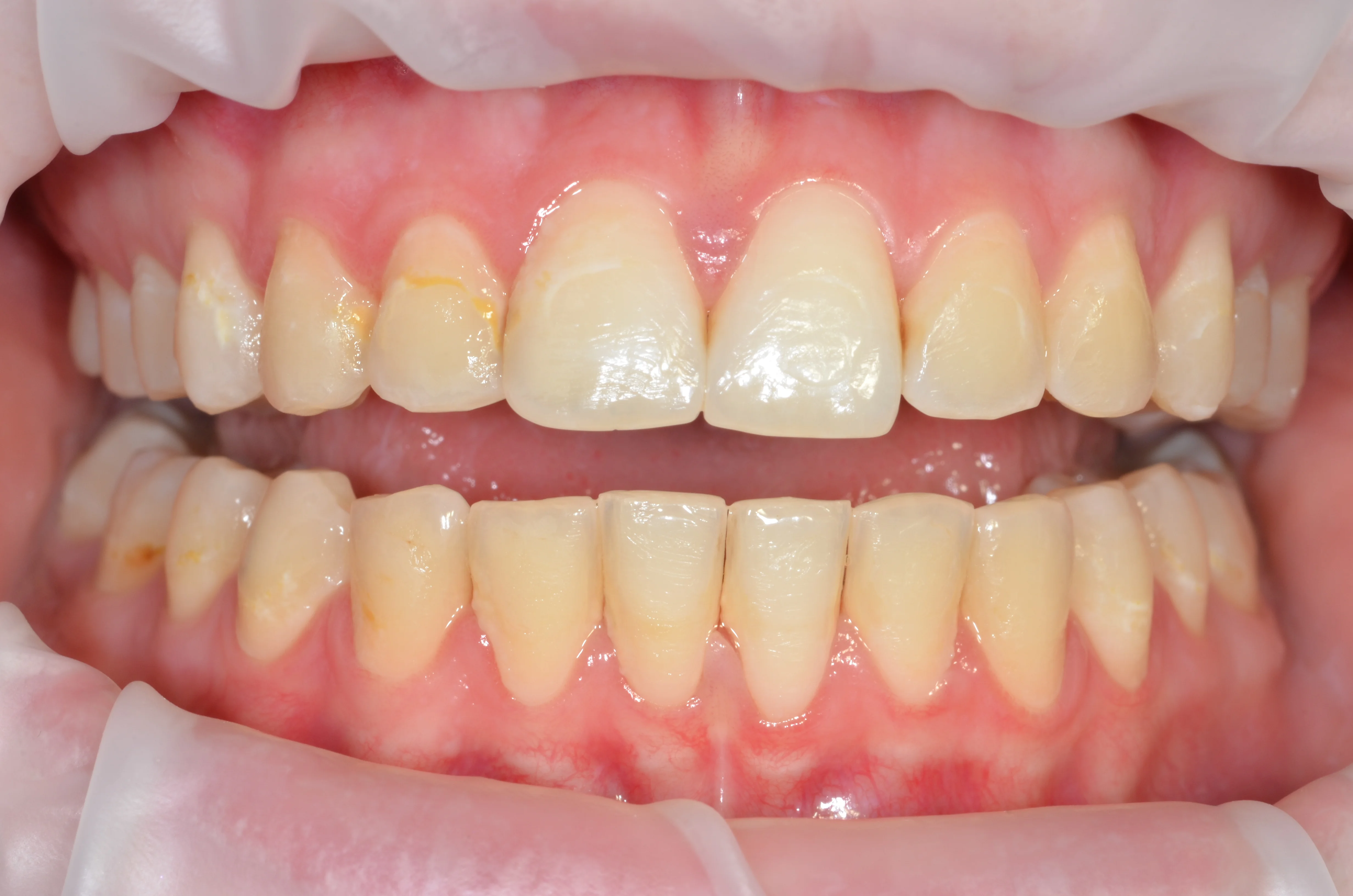
Przed
Po
Efekt wybielania zębów metodą nakładkową
Leczenie trwa zwykle 14-21 dni i obejmuje:
- pobranie wycisków,
- wykonanie indywidualnych nakładek,
- instruktaż nakładania preparatu wybielającego,
- kontrolę przebiegu wybielania u lekarza / higienistki stomatologicznej.
Bezpieczeństwo wybielania
Badania nad bezpieczeństwem wybielania zębów wykazały, że wybielanie pod kontrolą lekarza dentysty i/lub higienistki stomatologicznej jest całkowicie bezpieczne dla zębów, policzków, dziąseł i tkanek miękkich jamy ustnej. Wybielanie zębów środkami zaleconymi w gabinecie stomatologicznym jest równoznaczne z wypiciem jednego napoju gazowanego. Materiały wybielające do użytku domowego mają neutralne pH.
Nadwrażliwość podczas wybielania
Nadwrażliwość jest najczęstszym skutkiem ubocznym wybielania zębów. Zwykle dzieje się to wokół szyjek zębów i może objawiać się łagodnym bólem zębów oraz pulsowaniem.
50% pacjentów odczuwa nadwrażliwość podczas leczenia. Sposoby na radzenie sobie z tą dolegliwością nasi pacjenci otrzymują w szczegółowych zaleceniach podczas wybielania domowego.
