Stomatologia Zachowawcza
Stomatologia zachowawcza to podstawowy dział stomatologii, którego celem jest zapobieganie i leczenie próchnicy – najczęstszej choroby, z jaką pacjenci zgłaszają się do gabinetu. Wczesne wykrycie zmian i szybkie wdrożenie leczenia pozwala zachować naturalne zęby jak najdłużej oraz uniknąć poważniejszych powikłań.
W naszej klinice stawiamy na diagnostykę, precyzję i nowoczesne rozwiązania. Pracujemy w powiększeniu, korzystamy z zaawansowanych narzędzi oraz materiałów, które wiernie odwzorowują naturalny kolor, połysk i przezierność zębów. Dzięki temu odbudowane zęby są nie tylko zdrowe, ale również estetyczne i funkcjonalne.
Wiemy, że wizyta u dentysty często budzi obawy o ból. Dlatego podczas leczenia zapewniamy skuteczne znieczulenie, spokojną atmosferę oraz pełen komfort pacjenta. Naszą misją jest udowodnienie, że współczesna stomatologia może być bezbolesna i przyjazna.
W ramach stomatologii zachowawczej oferujemy:
- specjalistyczne konsultacje i diagnostykę zmian próchnicowych,
- leczenie próchnicy niepowikłanej,
- leczenie wczesnych zmian próchnicowych i białych plam metodą infiltracji żywicą ICON,
- estetyczne odbudowy zębów z wykorzystaniem wysoce zaawansowanych technologicznie materiałów kompozytowych,
- kosmetyczną rekonstrukcję złamanych zębów,
- leczenie nadwrażliwości zębów (dogłębna fluoryzacja, laser biostymulacyjny),
- leczenie kanałowe (endodontyczne) – konieczne, gdy proces próchnicowy zajmuje miazgę zęba.
Zobacz efekty leczenia
Przekonaj się o skuteczności naszych zabiegów stomatologii zachowawczej.
Przed
Po
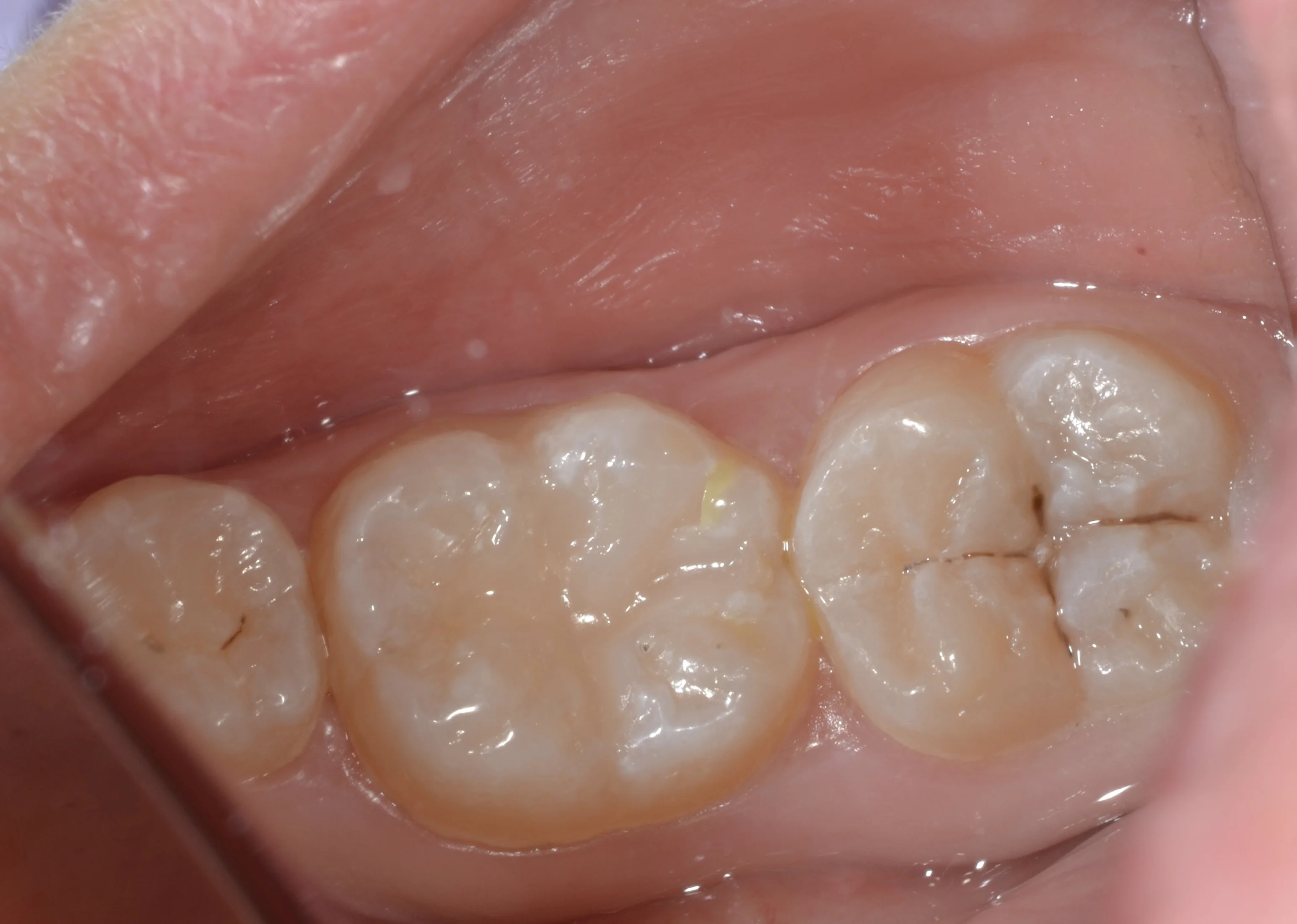
Leczenie próchnicy z odbudową estetyczną.
Regularne kontrole oraz właściwa higiena jamy ustnej są kluczowe, aby uniknąć nawrotów próchnicy i cieszyć się zdrowym uśmiechem przez wiele lat.
Infiltracja płynną żywicą metodą Icon
Infiltracja płynną żywicą metodą Icon to nowoczesne rozwiązanie w stomatologii, które pozwala na skuteczne leczenie próchnicy początkowej oraz usuwanie przebarwień zębów. Zabieg ten jest bezinwazyjny, co oznacza, że nie wymaga borowania ani znieczulenia. Metoda ta jest idealna zarówno dla dorosłych, jak i dzieci, oferując szybkie i widoczne efekty.
Icon – wskazania do zabiegu
Icon jest zalecany w wielu przypadkach. Wskazania do przeprowadzenia tego zabiegu obejmują początkowe stadia próchnicy, które objawiają się białymi plamami na powierzchniach zębów, porowatość i demineralizację szkliwa, które mogą być wynikiem noszenia aparatu ortodontycznego, oraz przebarwienia zębów spowodowane fluorozą lub innymi czynnikami, takimi jak urazy czy przyjmowanie niektórych leków w dzieciństwie. Dzięki swojej delikatności, metoda Icon może być stosowana zarówno u dzieci, jak i dorosłych, niezależnie od wieku pacjenta.
Jak przeprowadzany jest zabieg metodą Icon?
Zabieg Icon rozpoczyna się od dokładnego oczyszczenia powierzchni zęba oraz założenia ślinochronu, aby izolować leczony obszar. Następnie na ząb aplikowany jest żel przygotowujący, który otwiera pory szkliwa. Po osuszeniu zęba stomatolog nakłada płynną żywicę Icon, która wnika w strukturę zęba, wypełniając porowatości i blokując dostęp kwasów próchnicotwórczych. Cały zabieg Icon trwa około 15-60 minut, w zależności od liczby leczonych zębów i głębokości zmian.
